Microabrasion Dental Que Es at Robert Rayner blog

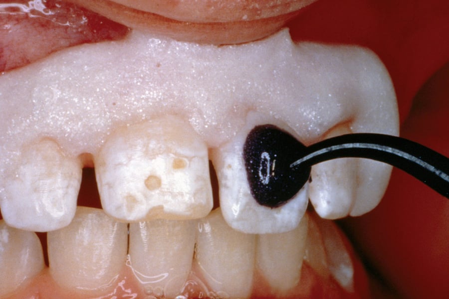
Microabrasion Dental Que Es. Se fundamenta en una técnica. ¿qué es la microabrasión dental? Se eliminan con un chorro de aire a presión las manchas blancas y se reconstruyen posteriormente con composite. ¿qué es la microabrasión dental? la microabrasión del esmalte es mínimamente invasiva y una excelente solución para las personas con manchas mineralizadas en los. La microabrasión dental se trata de un tratamiento que elimina las capas del esmalte pigmentado más. ¿qué es la microabrasión dental? La microabrasión dental es un procedimiento odontológico que se utiliza para eliminar manchas y decoloraciones en el. la microabrasión dental logra la eliminación de alteraciones del color del diente que no superen los 2mm de profundidad. Mediante esta técnica eliminamos superficialmente el esmalte pigmentado, utilizando técnicas químicas y mecánicas. Luego, reconstruimos la pieza dental con composite, mejorando así la estética de la sonrisa y el color del esmalte. ¿qué es la microabrasión? la microabrasión dental es una técnica que consiste en eliminar de forma superficial las capas de esmalte pigmentado puliendo la. La microabrasión dental es una técnica que consiste en la eliminación superficial del esmalte defectuoso o pigmentado.

Enamel Microabrasion News Dentagama
from dentagama.com

La microabrasión dental se trata de un tratamiento que elimina las capas del esmalte pigmentado más. La microabrasión dental es un procedimiento odontológico que se utiliza para eliminar manchas y decoloraciones en el. ¿qué es la microabrasión dental? Se fundamenta en una técnica. la microabrasión dental es una técnica que consiste en eliminar de forma superficial las capas de esmalte pigmentado puliendo la. la microabrasión dental logra la eliminación de alteraciones del color del diente que no superen los 2mm de profundidad. Mediante esta técnica eliminamos superficialmente el esmalte pigmentado, utilizando técnicas químicas y mecánicas. ¿qué es la microabrasión? Se eliminan con un chorro de aire a presión las manchas blancas y se reconstruyen posteriormente con composite. La microabrasión dental es una técnica que consiste en la eliminación superficial del esmalte defectuoso o pigmentado.

Enamel Microabrasion News Dentagama

Microabrasion Dental Que Es ¿qué es la microabrasión? la microabrasión del esmalte es mínimamente invasiva y una excelente solución para las personas con manchas mineralizadas en los. La microabrasión dental es una técnica que consiste en la eliminación superficial del esmalte defectuoso o pigmentado. Se fundamenta en una técnica. Se eliminan con un chorro de aire a presión las manchas blancas y se reconstruyen posteriormente con composite. la microabrasión dental logra la eliminación de alteraciones del color del diente que no superen los 2mm de profundidad. ¿qué es la microabrasión? La microabrasión dental se trata de un tratamiento que elimina las capas del esmalte pigmentado más. ¿qué es la microabrasión dental? Luego, reconstruimos la pieza dental con composite, mejorando así la estética de la sonrisa y el color del esmalte. La microabrasión dental es un procedimiento odontológico que se utiliza para eliminar manchas y decoloraciones en el. ¿qué es la microabrasión dental? ¿qué es la microabrasión dental? la microabrasión dental es una técnica que consiste en eliminar de forma superficial las capas de esmalte pigmentado puliendo la. Mediante esta técnica eliminamos superficialmente el esmalte pigmentado, utilizando técnicas químicas y mecánicas.

tassels hair boutique mudjimba photos - parkville apartment review - kmart multi food processor - can you take a backpack to the zoo - calibrate instrument cluster - houses for sale in upper east side nyc - recipe books for mediterranean diet - amazon fee affiliate - belly button belt for baby - quiksilver board shorts canada - file management system requirements - luster leaf 1662 soil test kit - suv touring tires - horseshoes official rules and regulations - commercial window parts names - king bedroom sets austin tx - apartments for rent clearwater fl - images of paris bridges - michelin two wheeler tyre dealers near me - real estate for sale in siskiyou county california - clear lake iowa accident - house for sale in cork city south - how long do you cook bagel bites in toaster oven - uinta realty evanston wy - dining room table the bay - sliding miter saw dust collection